O documento de consenso TASC II (Transatlantic Inter-Society Consensus for the Management of Peripheral Arterial Disease) aborda aspectos da revascularização na DAP.
De acordo com os critérios TASC, opções de tratamento terapêutico podem ser derivadas dependendo do comprimento da oclusão/estenose local. O comprimento da estenose e suas regiões de localização decidem sobre a terapia: endovascular ou cirurgia vascular aberta.
Critérios TASC para oclusões vasculares femoropoplíteas
Tipos | Morfologia | Princípio da terapia |
|---|---|---|
A | Estenose única <5 cm de comprimento, não na origem da AFS ou na artéria poplítea distal, oclusão única <3 cm de comprimento (não na origem da AFS ou artéria poplítea) | endovascular |
B | Estenose única 5–10 cm de comprimento, não na artéria poplítea distal, oclusão única 3–10 cm de comprimento, não na artéria poplítea distal, estenose calcificada <5 cm de comprimento, múltiplas lesões <3 cm de comprimento | endovascular |
C | Oclusão única 3–10 cm de comprimento até a artéria poplítea distal, múltiplas lesões focais 3–5 cm de comprimento sem/com calcificação, estenose/oclusão única >10 cm de comprimento | reconstrução aberta |
D | Oclusão completa da AFC e/ou AFS, oclusão completa da artéria poplítea e trifurcação, doença difusa grave | reconstrução aberta |
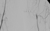
Exemplo de vídeo: TASC C → reconstrução aberta
Estágio IIb de DAP esquerdo (distância de caminhada inferior a 100 m). A DSA pré-operatória mostra:
- uma estenose subtotal da artéria femoral comum
- uma oclusão de segmento longo da artéria femoral superficial no canal adutor
- oclusões parciais das artérias da perna inferior