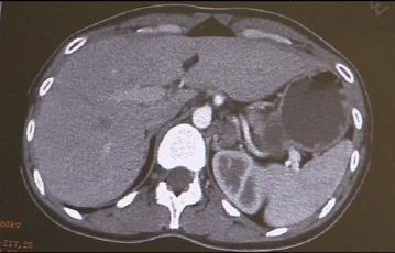
En la imagen se muestra una lesión ocupante de espacio multinodular, de aspecto quístico, de aproximadamente 5-6 cm de tamaño en la región de la glándula suprarrenal izquierda, que clínicamente se identificó como feocromocitoma.
-
Hallazgo tomográfico computarizado
![Hallazgo tomográfico computarizado]()
-
Posicionamiento de los trócares
![Posicionamiento de los trócares]()
Establecimiento del capnoperitoneo después de una minilaparotomía de 2 cm de longitud en el abdomen superior medio izquierdo como acceso para el trócar óptico. Después de la inspección de la cavidad abdominal, introducción de dos trócares de trabajo adicionales, de 5 mm en el epigastrio izquierdo y un trócar de 12 mm ventral a la 11.ª costilla izquierda.
-
Movilización del colon descendente
-
Apertura del espacio prerrenal
![Apertura del espacio prerrenal]()
Ajustes de sonido El acceso a la glándula suprarrenal izquierda se realiza desde lateral mediante la liberación progresiva de la flexura izquierda del retroperitoneo hasta que la superficie anterior de la fascia de Gerota o de la cápsula renal quede expuesta en gran parte.
Nota: En pacientes delgados es difícil preservar la fascia de Gerota.
Ahora se seccionan los ligamentos de suspensión del bazo al diafragma y al riñón, para poder medial
Activar ahora y seguir aprendiendo directamente.
Activación individual
Activación de este contenido didáctico durante 3 días.
Oferta más popular
webop - Ahorro flexible
Combine de forma flexible nuestros módulos de aprendizaje y ahorre hasta un 50%.
87,98 US$/ facturación anual
Cirugía General y Visceral
Todos los contenidos didácticos de este módulo se activan.
176,00 US$ / facturación anual
Webop está comprometido con la enseñanza. Por eso ofrecemos todos nuestros contenidos también a una tarifa justa para estudiantes.



